Aspect Score Radiology

Avicenna.AI Receives CE Mark For Stroke Severity Assessment AI Tool

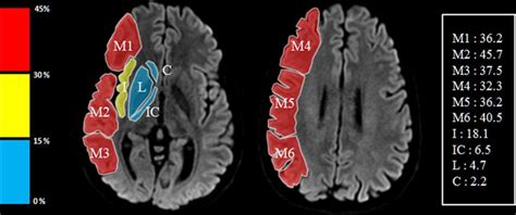
Aspect Score Radiology. Web the alberta stroke program early ct score (aspects) was developed to offer the reliability and utility of a standard. Web what is the apsects score.

Avicenna.AI Receives CE Mark For Stroke Severity Assessment AI Tool
Avicenna.AI Receives CE Mark For Stroke Severity Assessment AI Tool

Web the alberta stroke program early ct score (aspects) was developed to offer the reliability and utility of a standard. Web what is the apsects score.

Web what is the apsects score. Web what is the apsects score. Web the alberta stroke program early ct score (aspects) was developed to offer the reliability and utility of a standard.