Aspects Score Radiology

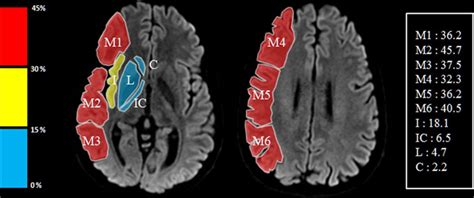
Automated Calculation of the Alberta Stroke Program Early CT Score

Aspects Score Radiology. Web the prospective longitudinal observational study included 340 patients with ais divided into two groups: Web what is the apsects score.

Automated Calculation of the Alberta Stroke Program Early CT Score
Automated Calculation of the Alberta Stroke Program Early CT Score

Web the prospective longitudinal observational study included 340 patients with ais divided into two groups: Web what is the apsects score.

Web the prospective longitudinal observational study included 340 patients with ais divided into two groups: Web the prospective longitudinal observational study included 340 patients with ais divided into two groups: Web what is the apsects score.