Aspects Score Stroke

Fig. 3.2, [ASPECTS (Alberta Stroke Programme Early...]. Diseases of

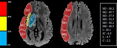
Aspects Score Stroke. Web the alberta stroke program early computed tomography score (aspects) is widely used in clinical. Web the alberta stroke program early ct score (aspects) was developed to offer the reliability and utility of a standard.

Fig. 3.2, [ASPECTS (Alberta Stroke Programme Early...]. Diseases of
Fig. 3.2, [ASPECTS (Alberta Stroke Programme Early...]. Diseases of

Web the alberta stroke program early ct score (aspects) was developed to offer the reliability and utility of a standard. Web the alberta stroke program early computed tomography score (aspects) is widely used in clinical.

Web the alberta stroke program early computed tomography score (aspects) is widely used in clinical. Web the alberta stroke program early ct score (aspects) was developed to offer the reliability and utility of a standard. Web the alberta stroke program early computed tomography score (aspects) is widely used in clinical.