High Calcium Score Ct Scan

Calcium Score Heart Scan, Animation YouTube

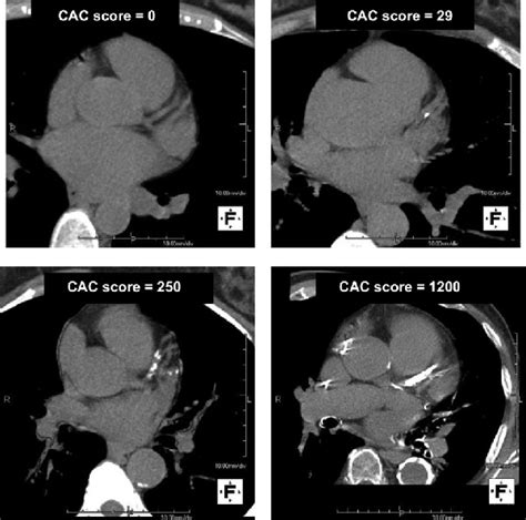
High Calcium Score Ct Scan. The absolute agatston score and the age, sex,. Web a calcium score test is a ct (computed tomography) scan that looks at how much calcium is in your coronary arteries.

Calcium Score Heart Scan, Animation YouTube
Calcium Score Heart Scan, Animation YouTube

You and your doctor can take the. Web the coronary calcium scan tells you how much calcified plaque is in your heart’s arteries. Web a calcium score test is a ct (computed tomography) scan that looks at how much calcium is in your coronary arteries. Web important points to report when interpreting cac scans include: The absolute agatston score and the age, sex,.

You and your doctor can take the. Web important points to report when interpreting cac scans include: The absolute agatston score and the age, sex,. Web the coronary calcium scan tells you how much calcified plaque is in your heart’s arteries. Web a calcium score test is a ct (computed tomography) scan that looks at how much calcium is in your coronary arteries. You and your doctor can take the.