Tumor Proportion Score

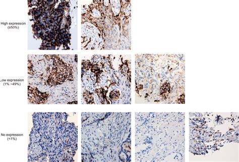
PDL1 tumor proportion score (TPS) in several cases of adenocarcinoma

Tumor Proportion Score. Advanced nsclc what is tps? Web the combined positive score (cps) and tumor proportion score (tps) have been developed to evaluate programmed death.

PDL1 tumor proportion score (TPS) in several cases of adenocarcinoma
PDL1 tumor proportion score (TPS) in several cases of adenocarcinoma

Web the combined positive score (cps) and tumor proportion score (tps) have been developed to evaluate programmed death. Advanced nsclc what is tps?

Advanced nsclc what is tps? Advanced nsclc what is tps? Web the combined positive score (cps) and tumor proportion score (tps) have been developed to evaluate programmed death.